Especialidades Neurocirurgia
Neurocirurgia em Portugal
A Neurocirurgia é a especialidade médica dedicada ao diagnóstico e tratamento cirúrgico de doenças do sistema nervoso central e periférico.
É deste modo que o Dr. Luís Mateus alia conhecimento técnico a abordagens inovadoras para proporcionar os melhores cuidados aos seus pacientes.
Conheça as áreas de atuação e diferenciação do Dr. Luís Mateus!
Áreas de diferenciação
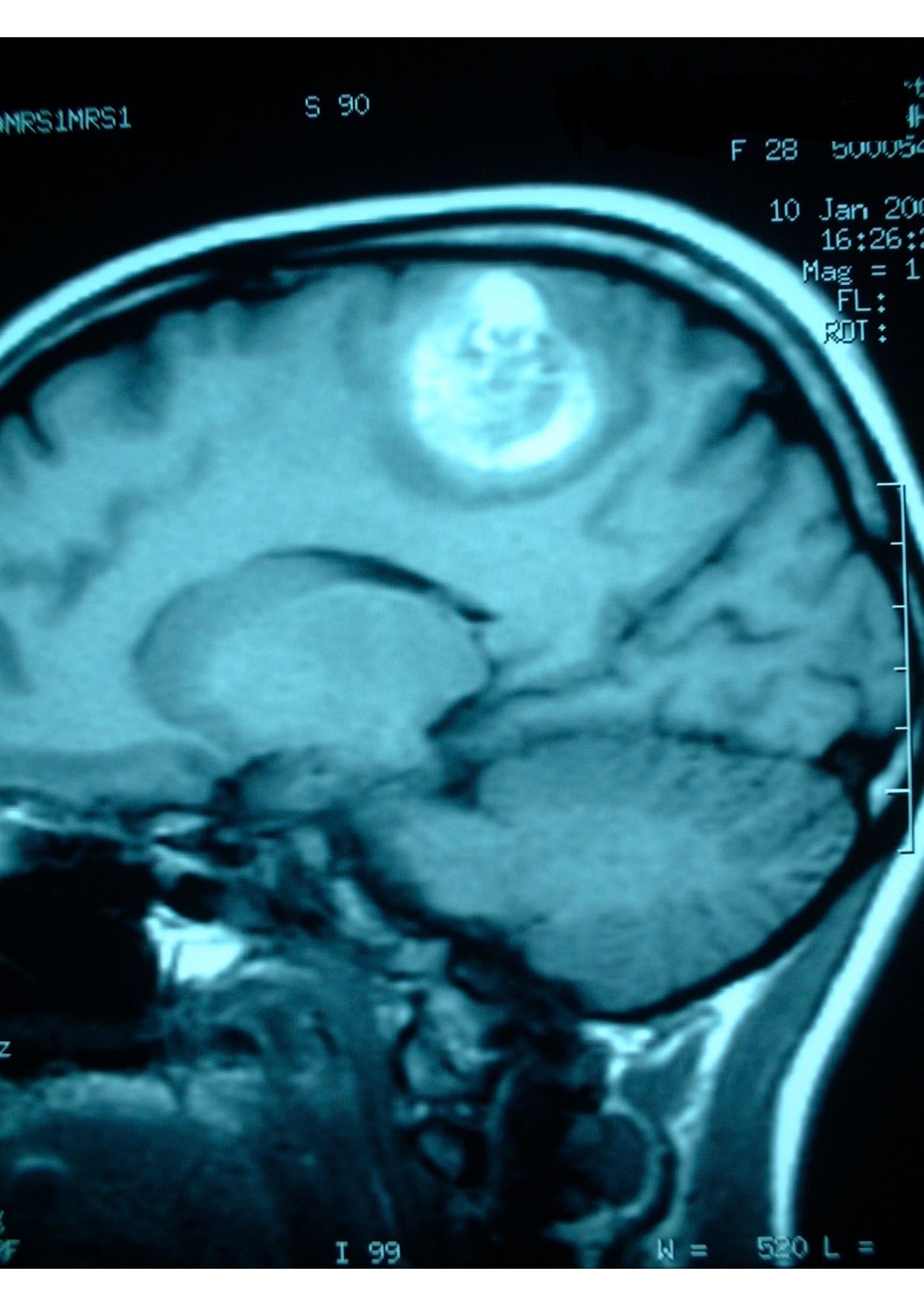
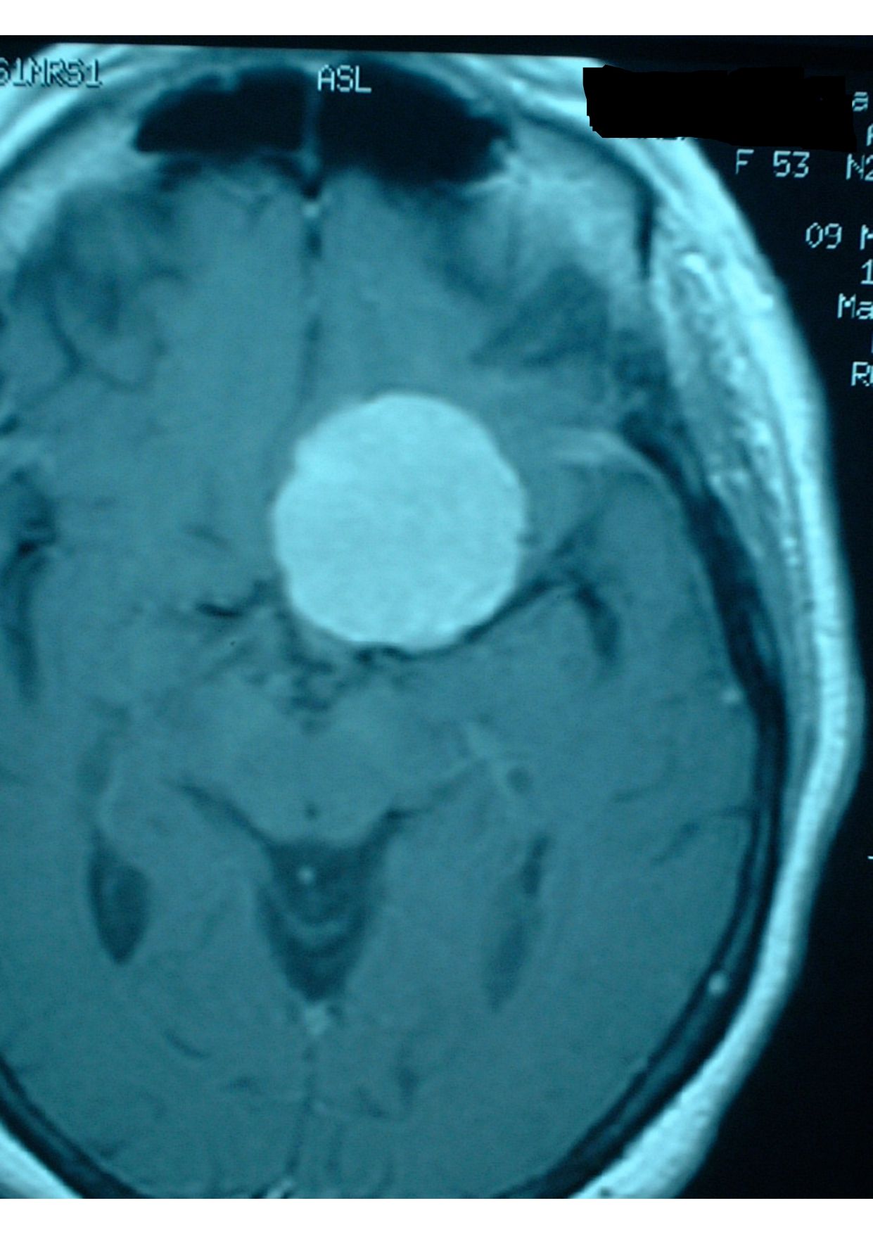
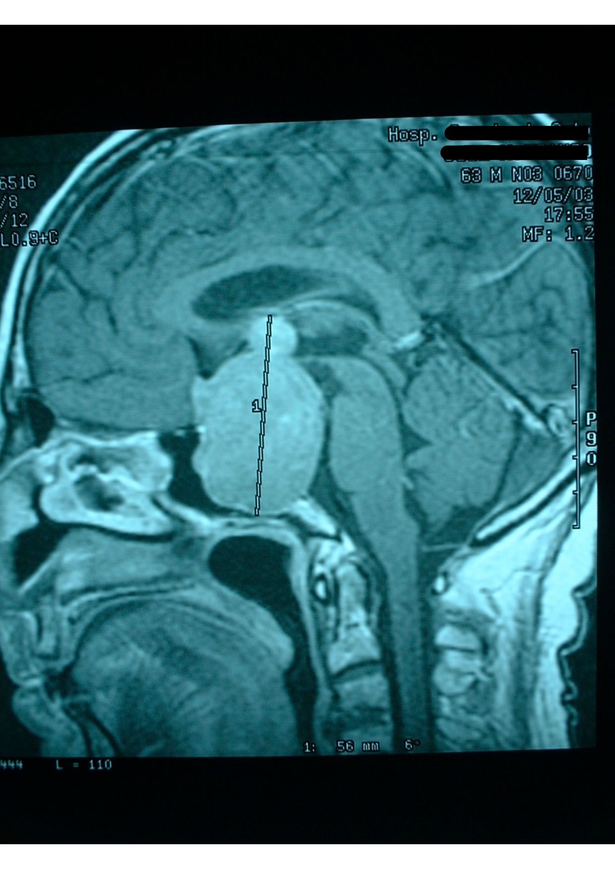
Patologias Tumoral Crânio Encefálica e Raquidiana
- Diagnóstico e tratamento de tumores que afetam o cérebro e a coluna vertebral.
Tumores da Hipófise
- Diagnóstico e tratamento especializado de tumores nesta glândula essencial.
Patologia Degenerativa da Coluna Vertebral
- Tratamento de doenças que afetam a estrutura e função da coluna, com potencial impacto na qualidade de vida.
Nervos periféricos
- Diagnóstico e intervenção em lesões e compressões que afetam os nervos exteriores ao cérebro e à medula.
Neurotraumatologia e Neurocríticos
- Abordagem especializada a lesões graves no sistema nervoso central.
Especialista também em:
- Hérnia discal
- Hidrocefalia,Tumor Cerebral, Meningeoma
- Traumatismo Craniano, Cervicalgia, Ciática e Lombalgia
- Fraturas osteoporóticas das vértebras
Áreas de diferenciação
Conheça as áreas de intervenção e diferenciação do Dr. Luís Mateus!











